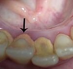
27 okt Wat doet tandsteen en hoe voorkom je het?
Tandsteen is tandplak dat lang tussen/op/naast je tanden heeft blijven kunnen zitten. Tandplak bestaat uit bacteriën, voedselresten en stoffen uit het speeksel. Als tandsteen lang blijft zitten, kan dit gaatjes (caviteiten) veroorzaken. De vraag is dus, hoe voorkom of verwijder ik het tandsteen? D
Voorkomen van tandsteen
We beginnen bij het voorkomen van tandplak. Ten eerste is het belangrijk om twee keer per dag je tanden te poetsen (liefst met elektrische tandenborstel) en voor het poetsen te rageren tussen de tanden. Het poetsen moet wel volgens de juiste poets techniek gebeuren, zodat je zeker weet dat je geen plekjes overslaat. Naast het verzorgen van het gebit is het belangrijk om maximaal 7 zoetmomenten op een dag te hebben.
Drink water
Als er frisdranken genuttigd worden, komen er veel suikers bij kijken waardoor het tandplak kan vermenigvuldigen. Als er water gedronken wordt, zal de tandplak hierdoor niet vermenigvuldigen. Daarnaast heeft het drinken van water een positief effect op het aanmaken van speeksel. Speeksel heeft een reinigende werking. Dus let er op dat je voldoende water drinkt en geen frisdrank.
Tandsteen verwijderen
Heb je na het volgen van deze tips toch nog tandsteen? Dan zal het verwijderd moeten worden. Tandplak kun jezelf nog verwijderen, echter krijg je tandsteen zelf niet meer verwijderd met een tandenborstel.
Voor het verwijderen van tandsteen kun je een bezoek brengen aan de preventie assistente of de mondhygieniste. Zij verwijderen het tandsteen door middel van een sonde of een ultrasoon hulpmiddel (lostrillen van het tandsteen). Na het verwijderen van het tandsteen, polijst de assistente je tanden. Door het polijsten worden jouw tanden glad en op gladde tanden kan tandplak minder goed een houvast vinden.
